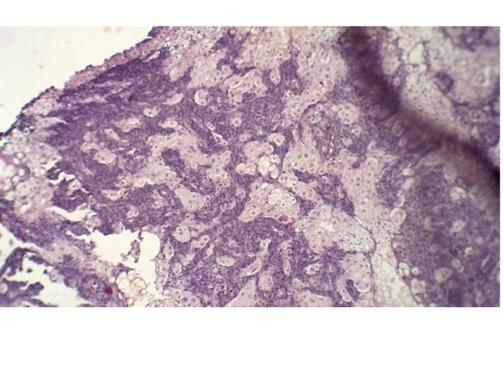
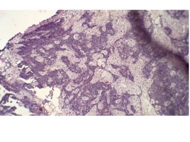
SEBACEOMA.005

Acerca de Editores PIEL-L

Mesa de redacción de Piel Latinoamericana. Donde recibimos casos, aportes e información de interés para la comunidad latinoamericana dermatólogica

Este sitio web utiliza cookies para que usted tenga la mejor experiencia de usuario. Si continúa navegando está dando su consentimiento para la aceptación de las mencionadas cookies y la aceptación de nuestra política de cookies, pinche el enlace para mayor información.plugin cookies

ACEPTAR
Aviso de cookies