Dra. Patricia Chang *
Dr. Roberto Orozco **
* Dermatóloga Paseo Plaza Clinic Center
** Jefe de Patología Hospital General San Juan de Dios
- Paciente
- Femenina
- 51 años
- Antecedentes familiares maternos: cáncer de piel
- Antecedentes personales: carcinoma basocelular en ala nasal y tórax anterior izquierda
- Lesión vista en diciembre 2024 a nivel de parpado inferior izquierdo por lo que consulta
PIEL-L Latinoamericana Publicacion periodica en dermatologia | Fundada en 1998





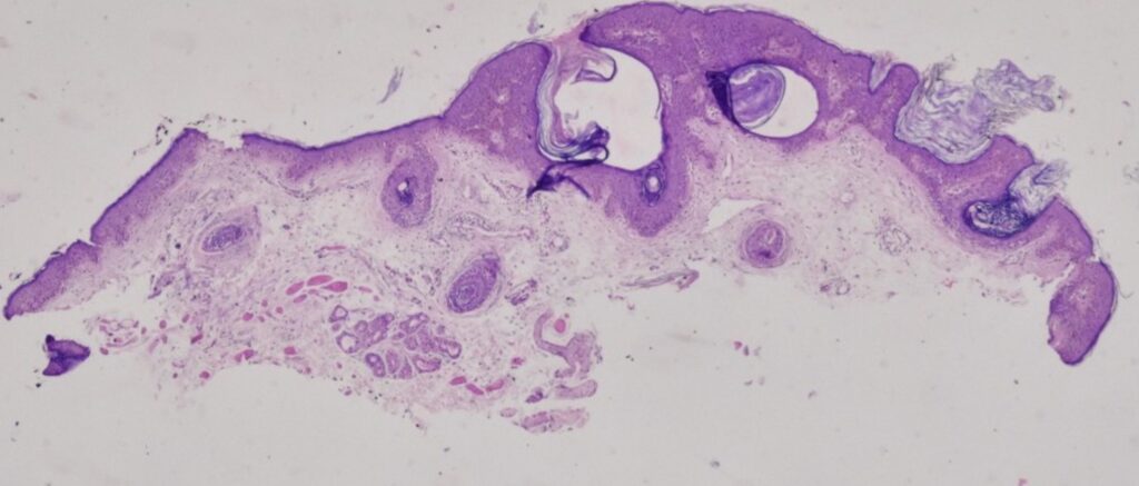
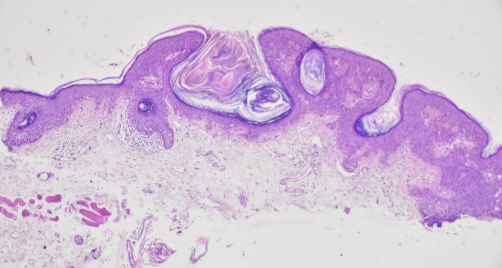
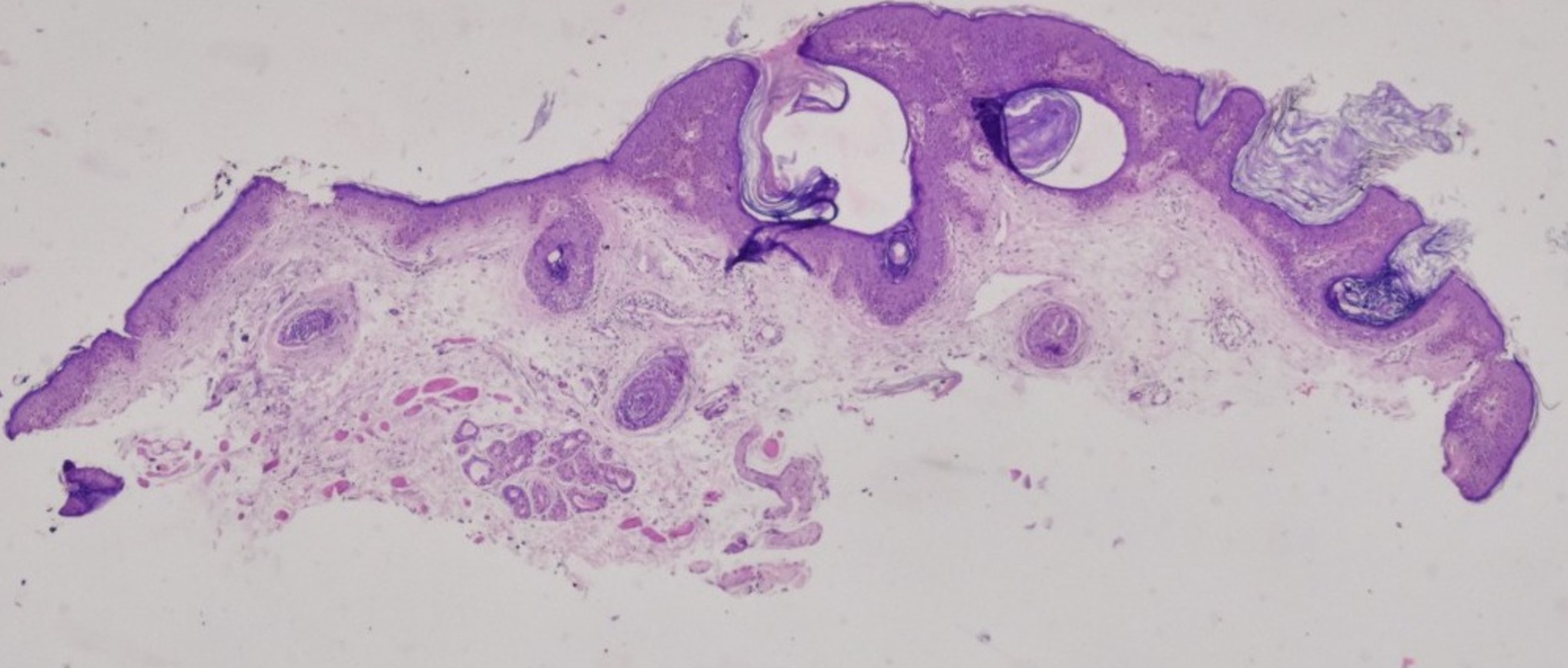
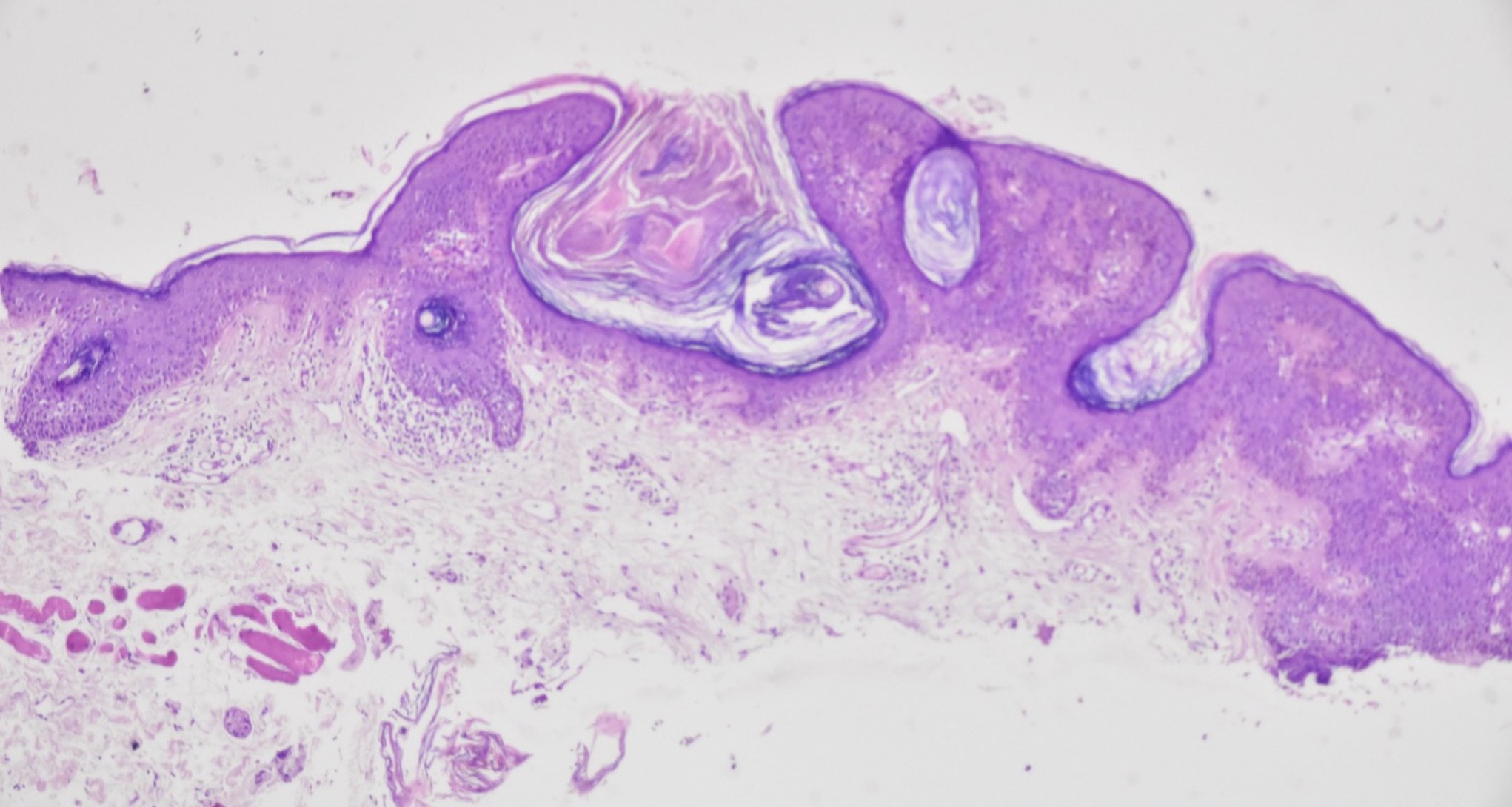
Tanto a la dermatoscopia como a la AP se ven pdeudoquistes corneos que orientan a una queratosis seborreica
Queratosis seborreica
Queratosis seborreica
Gracias por sus comentario efectivamente ese el diagnóstico,la topogrcia no es la usual
Gracias Paty hermosos casos
Queratosis seborrica
Me pareció interesante compartir por su localización, gracias por todos sus comentarios