Dermatología a través del microscopio

Modulo Coordinado por Rolando Hernández Pérez
Editor Fundador de Piel-L Latinoamericana


Caso presentado por Jerad Garder MD- EEUU)
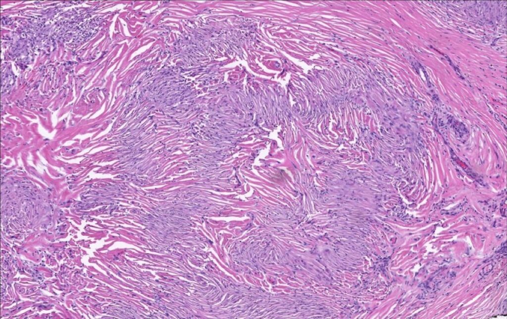
Nódulo color purpura en piel del codo derecha

Acerca de Editores PIEL-L

Mesa de redacción de Piel Latinoamericana. Donde recibimos casos, aportes e información de interés para la comunidad latinoamericana dermatólogica

4 comentarios

  1. Salomé Salloum Salazar

    Impresión diagnóstica:
    Schwannoma

  2. Miofiibroma/ miopericitoma

  3. Oscar Eduardo Reyes Jaimes

    Staghorn pattern. Sugestivo de tumor fibroso solitario

  4. ROLANDO HERNANDEZ PEREZ

    Buenas tardes. Este caso fue reportado como: ERITEMA ELEVATUN DIUTINUM (Vasculitis Fibrosante)
    El eritema elevado persistente (EEP), o eritema elevatum diutinum, es una dermatosis crónica infrecuente caracterizada por pápulas, placas y nódulos de color de rojo violáceo a rojo castaño que muestran predilección por las superficies extensoras. Los hallazgos histopatológicos consisten en una VLC en las lesiones tempranas seguida de una sustitución fibrótica de la dermis en las lesiones más antiguas.

    Este caso presentaba nódulo rojizo en los codos.

Deja una respuesta

Tu dirección de correo electrónico no será publicada. Los campos obligatorios están marcados con *

Este sitio web utiliza cookies para que usted tenga la mejor experiencia de usuario. Si continúa navegando está dando su consentimiento para la aceptación de las mencionadas cookies y la aceptación de nuestra política de cookies, pinche el enlace para mayor información.plugin cookies

ACEPTAR
Aviso de cookies