Marisela Acosta Casanova – médico anatomopatólogo-
Adriana Mercedes Balza Haddad – médico anatomopatólogo
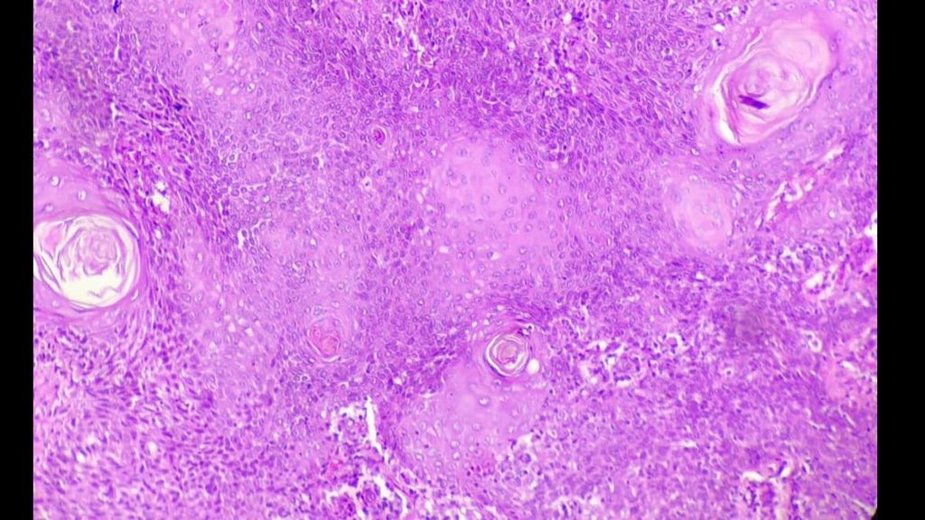
Recuerde que este es un módulo para diagnosticar la enfermedad solo a través de la imagen microscópica o con muy poca información clínica, como en este caso.
PIEL-L Latinoamericana Publicacion periodica en dermatologia | Fundada en 1998





CEC
Se observan masas de células epidérmicas que invaden la dermis en su espesor. Perlas córneas en disposición concéntricas (muy demostrativas en la última lámina). Es un Carcinoma Espinocelular.