171. Consulte a un Colega 2. (Reto diagnostico): «Lesión pigmentada en vulva»

Presentado por:
Katrina Fernandez (Dermatólogo/Dermopatólogo)
Consulta Privada

Infelizmente no contamos con foto clínica. Solo las imágenes histopatológicas

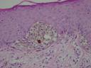
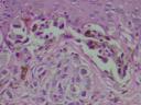
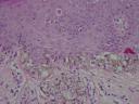
Tengo muy poca información. Femenino de 25 años con lesión pigmnetada en el labio mayor de la vulvar que impresiona nevus displásico.

p8062210.JPG  p8062211.JPG p8062212.JPG
 p8062213.JPG  p8062214.JPG  p8062215.JPG
 p8062216.JPG  p8062217.JPG  

Trate de obtener mas datos sin éxito

Saludos
Katrina

Acerca de Editores PIEL-L

Mesa de redacción de Piel Latinoamericana. Donde recibimos casos, aportes e información de interés para la comunidad latinoamericana dermatólogica

2 comentarios

  1. Observo un patrón muy Spitzoide en algunos campos (melanocitos fusiformes alternan con melanocitos epitelioides), formando tecas de cierto volumen en la unión dermo-epidérmica y la basal; en un campo un Cuerpo hialino o coloide de Kamino, epitelio moderadamente acantótico, tecas melanocíticas con aspecto balanonizante y buen grado de maduración melanocítica hacia la produndidad, de modo que sería muy interesante discutir si ésta lesión corresponde a una lesión melanocítica «compuesta», tipo «Nevus de Spitz Pigmentado Compuesto» vs «Nevus de Clark».

    Un saludo cordial
    Dr. Guillermo Planas Girón
    Ccs-Vzla

  2. Las fotomicrografías, a menor aumento, privilegian el diagnóstico de Nevus Melanocítico tipo Displástico(NMD); la presencia de asimetría, alternancia de melanocitos solitarios y tecas de melanocitos con diversidad morfológica y de tamaño, dan sustento al diagóstico de NMD. Otro hallazgo es variación en la distribución de pigmento melanico. Los bordes del especímen deben ser estudiados para ver si existe hiperplasia de melanocitos solitarios a nivel de zona basal.Citologicamente, las fotomicrografías muestran atipias nucleares de forma y cromasia. Los cuerpos de Hideko Kamino, que tantas expectativas crearon como marcador morfológico de lesiones melanociticas , a la larga resultaron ser una característica más de nevus y melanomas.

Deja una respuesta

Tu dirección de correo electrónico no será publicada. Los campos obligatorios están marcados con *

Este sitio web utiliza cookies para que usted tenga la mejor experiencia de usuario. Si continúa navegando está dando su consentimiento para la aceptación de las mencionadas cookies y la aceptación de nuestra política de cookies, pinche el enlace para mayor información.plugin cookies

ACEPTAR
Aviso de cookies