MgS. Fernando Gómez-Daza.
Valencia, Venezuela
La escarificación es una técnica que involucra la realización de pequeñas incisiones en la piel con el propósito de facilitar la entrada o salida de líquidos en el cuerpo.
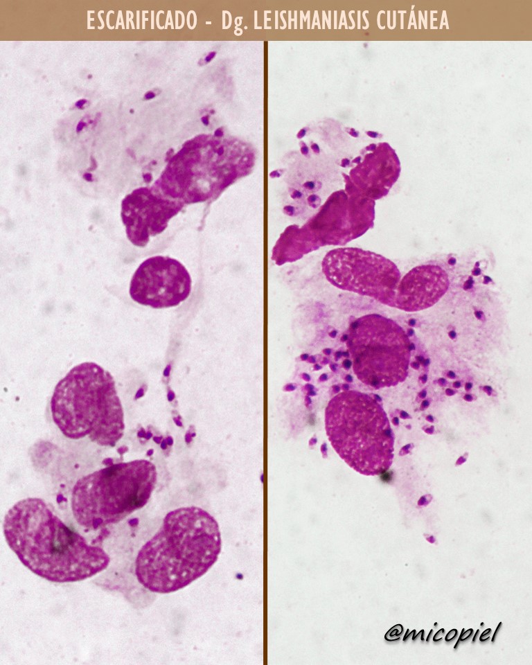
Se utiliza en el diagnóstico de enfermedades infecciosas como bacterianas, micóticas, parasitarias y virales. En este post se describirá su utilización en el diagnóstico de la Leishmaniasis Cutánea. Es una técnica sencilla, poca invasiva, rápida y económica que conserva la morfología del parásito luego de extender la muestra en una lámina portaobjeto para posteriormente teñir con el colorante de Giemsa y observarla al microscopio óptico eligiendo el objetivo de inmersión (100x).
La técnica se ejecuta previa asepsia y antisepsia de la lesión a examinar, luego se realiza restricción de la circulación sanguínea con ayuda de una pinza curva o los dedos de la mano del operador, se hace un pequeño corte en el borde de la lesión de 1 a 2 mm de profundidad por 4 mm de longitud utilizando un bisturí No15 estéril, se realiza raspronta de la incisión para tomar muestra de linfa y tejido, se ejecuta compresión con gasa para facilitar tapón plaquetario y cubrir la incisión con adhesivo.
El material obtenido en el bisturí se extiende sobre lámina portaobjeto que se tiñe con Giemsa y observar dentro o fuera de los macrófagos los amastigotes de Leishmania, protozoo de morfología esférica u ovalada, pequeño (2 a 4 micrómetros), con núcleo excéntrico y cinetoplasto puntiforme opuesto al núcleo.
En la actualidad hay un repunte de casos en el Estado Carabobo, Venezuela como Bejuma, Canoabo, Trincheras y localidades del Parque San Esteban.
PIEL-L Latinoamericana Publicacion periodica en dermatologia | Fundada en 1998







